
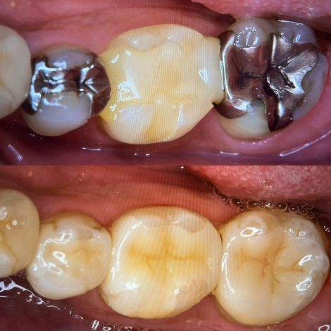
今日ご紹介する症例
古い銀歯が3本入っているケース
ほんとによくあるケースです
お痛みはありません
しかし、経年劣化により内部に腐食が進んでいます
痛みがないのに虫歯になっている😔
ここがポイントです☝️
治療回数は2回
1回目は90分と十分に時間をいただいて虫歯除去と補修と型採りまで
型採りはもちろん光学印象
そう
デジタルです!
2回目はセットで30分
無事神経を残せてほんとよかった
この治療を選択していただける方、ご理解いただける方が1人でも多く、1本でも多くの歯を救いたい
そう願ってやみません
まずはご相談から🤝
















