Blog

セラミック

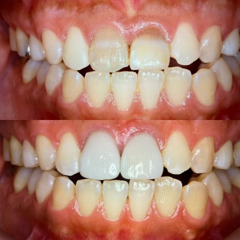
前歯のセラミック修復

2023/10/20

以前修復していた前歯4本のセラミック 最近多いのですが、お子さんとぶつかって前歯が折れてしまう涙 ほんと多いんです 前歯2本を根の治療からやり直して、なんとか保存できました 後から前歯2本を新…

メタルフリー歯科🦷

2023/09/22

おはようございます 幾分涼しくなってきたような… 残暑厳しいですが、本日も不良な金属を除去し、根管治療は原理原則!正しく行い、そのうえに適合の良いセラミックにて修復🙆 とにかくみなさんの…

今日の1ケース🦷

2023/09/12

メタルフリー診療を推進している州デンタルオフィスでは、 患者さんに理解いただけるようしっかり説明を行い、早い段階でメタルフリーへ取り組んでいただけるように努めています 少しでも多くの方に浸透…

インプラントの複合治療

2023/07/15

今日の1ケースは インプラント治療と、天然歯をセラミックの詰め物で治療したケースです 州デンタルオフィスでは同時に型取りを行う事で、期間の短縮と型採りをデジタルで行うので不快感を軽減することが…

古くなった前歯のやりかえ

2023/05/19

🦷前歯のやりかえ症例🦷   20年近く使ってきた前歯の被せ物 歯茎のラインも含めかなり年季が入っており、早急なやりかえが必要 当院で歯内療法含め対応させていただきました 型採りもデジタル対応の…

今日の1ケース🦷

2023/01/29

今日の1ケースは 劣化した銀歯をセラミックに取り換えた症例です 州デンタルオフィスでは、大変多くの患者さんにご提供させていただいております メタルフリーなお口の中 お手伝いさせていただきます🦷 …

今日の1ケース🦷

2023/01/25

今日ご紹介する症例 古い銀歯が3本入っているケース ほんとによくあるケースです お痛みはありません しかし、経年劣化により内部に腐食が進んでいます 痛みがないのに虫歯になっている😔 ここがポイント…

今日の1ケース🦷

2022/10/08

今日ご紹介する症例は 本来神経を全て温存する予定でしたが、残念ながら虫歯が大きく神経治療を1本行い、両隣の歯を含めて3本セラミック治療を行いました🦷 上顎3本なのでセラミックにする必要あるのでし…

2022/07/19

今日ご紹介する症例は 前歯   セラミック治療   です 幼少期のお薬による歯の色彩不良 及び、歯茎の位置不整 この治療は,よくある1dayセラミック治療☝️ これはダメです👎 なぜか、 歯茎の成熟…