Blog

セラミック

2021/08/26

今日ご紹介するケースは 奥歯が昔のタイプのセラミック 手前がプラスチックが劣化していたケース 共にジルコニアセラミックで作製致しました 型採りも光学印象なので、従来の不快感の強い型採りは不要で…

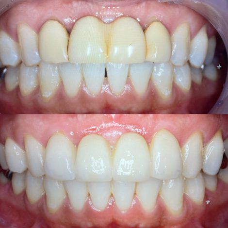
前歯の審美治療🦷

2021/07/14

本日ご紹介するケースは 『前歯の審美改善』 に関しての症例です🦷 通常このようなケースの場合、歯茎が足りない部分に移植が必要になります👨‍⚕️ しかし、この症例は歯茎の移植なしに行いました &ld…

前歯のセラミック治療🦷

2021/06/26

こんにちは 最近前歯の治療のご相談をよく受けます 当院の治療の結果でご紹介いただくケースも増えてきたように感じます この時期は特に皆さんマスクをしていらっしゃるので、治療に関しては今が最適な時…

セラミック治療 今日の1ケース

2021/06/10

本日ご紹介する症例は、ご紹介頂き、インプラント含め、多数歯を当院で治療させていただいている患者様 遠方よりお越しいただいているので、1回で長く、かつ効率的に進めています とにかく型採りが苦手な…

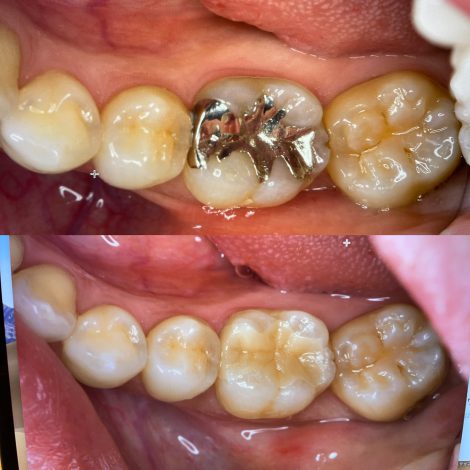
セラミック治療 今日の1ケース🦷

2021/06/08

本日ご紹介する症例は、州デンタルオフィスでは多くの患者様に選択していただく銀歯のやりかえです 長年使用していると、痛みを伴わないまま内部が劣化してしまう これはとても怖いことです これを防ぐた…

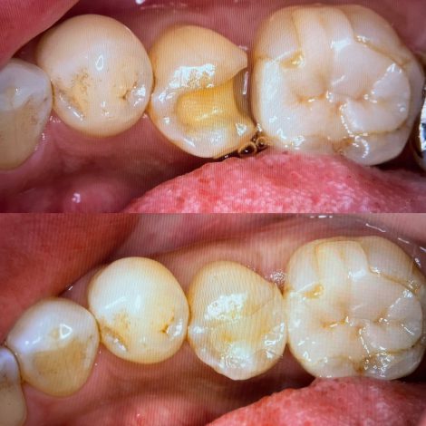
セラミック治療 今日の1ケース

2021/06/06

本日ご紹介する症例は 奥歯の治療 セラミックの詰め物で対応した症例です 奥歯が銀歯の詰め物で、処置がなされていました 経年劣化により、中が感染しており、劣化していた状況でした 再度同じ治療は可能…

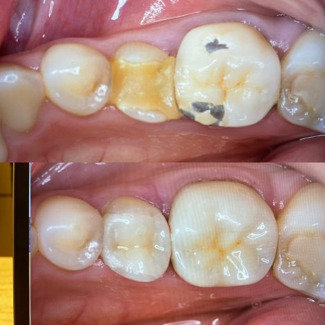
今日の1ケース🦷

2021/06/04

今日ご紹介する症例は、奥歯2本のセラミッククラウンとインレーです 元々は奥歯は銀歯、手前が治療途中でした ご相談した結果、見た目もよく、長持ちする治療をご希望との事で、セラミック治療にて対応さ…

今日の1ケース🦷

2021/05/30

今日の1ケースは 第二小臼歯(小さな歯)のセラミック処置をご紹介します。 元々セラミック処置をしていましたが、噛み合わせが強くセット後4年程で割れてしまいました。 現在は材料の進化が早く、以前は…

今日の1ケース🦷

2021/05/08

本日ご紹介する症例は セラミックが破折し、再度強固なセラミックで再作製したケースです ただし、闇雲に硬ければいいわけではありません🦷 割れてくれることは、歯にとっては力の分散になるからです …

今日の1ケース 壊れたセラミック交換

2021/05/03

こんにちは! GWいかがお探しでしょうか? 今日の1ケースは壊れた古いタイプのセラミックスと銀歯の組み合わせを、最新のセラミックスに交換した症例をご紹介します 州デンタルオフィスでは、セラミック…