Blog

古くなった前歯のやりかえ

古くなった前歯のやりかえ

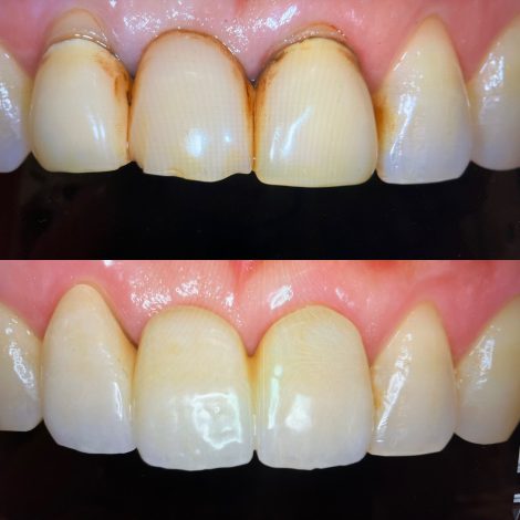
🦷前歯のやりかえ症例🦷

 

20年近く使ってきた前歯の被せ物

歯茎のラインも含めかなり年季が入っており、早急なやりかえが必要

当院で歯内療法含め対応させていただきました

型採りもデジタル対応の為、かなり楽に処置が進みました

喜んでいただけて何よりです♪