Tel.045-509-1481
MENU
WEB診療予約
記事カテゴリ
今日の1ケースは
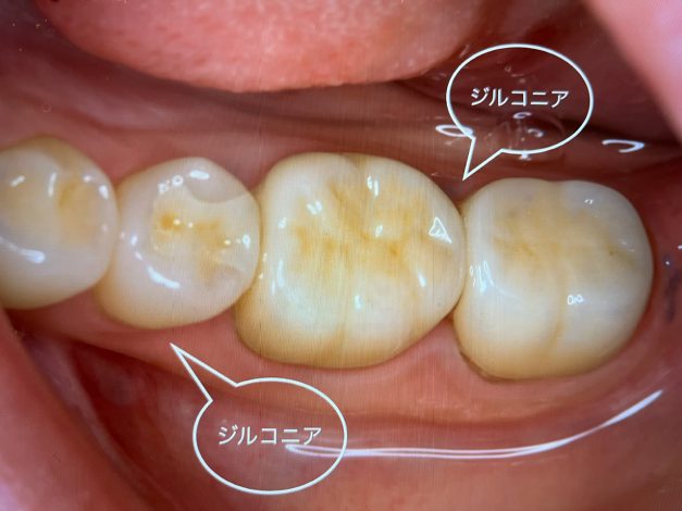
劣化した銀歯をセラミックに取り換えた症例です
州デンタルオフィスでは、大変多くの患者さんにご提供させていただいております
メタルフリーなお口の中
お手伝いさせていただきます🦷
まずはご相談から🤝