Blog

症例

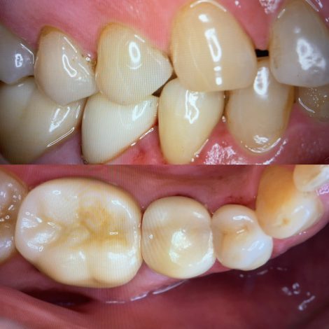
インプラントブリッジ🦷

2022/02/25

本日ご紹介する症例は、 インプラント お写真は左から、 初診時→仮歯→セット時 期間としては半年 様々な症例に対応していますが、長く使用してきた乳歯がダメになり、インプラントを活用してブ…

前歯の治療は?

2021/10/19

こんにちは 前歯をどうしても治療しなくてはならない場合、皆さんはどのような選択をしますか? 安い!早い! 確かに耳障りがいいですよね しかしながら、前歯は再治療が難しく、できるだけ最初に長く持…

今日の1ケース🦷

2021/09/16

本日ご紹介するケースは、インプラント、セラミック冠,セラミックの詰め物の複合ケースです。 このような場合、それぞれ作成する方法もありますが,同時進行していくことで、計画的に•審美的に治療…

今日の1ケース🦷

2021/09/05

本日ご紹介するケースは、銀歯2本をセラミックに交換したケースです 銀歯は見た目ではわかりませんが、中はセメントの劣化により虫歯が進行しているケースを多々見受けます 残念ながらお痛みと虫歯は一致…

2021/08/26

今日ご紹介するケースは 奥歯が昔のタイプのセラミック 手前がプラスチックが劣化していたケース 共にジルコニアセラミックで作製致しました 型採りも光学印象なので、従来の不快感の強い型採りは不要で…

今日の1ケース🦷

2021/08/01

こんにちは 本日はセラミックの被せ物をご紹介します 詰め物の虫歯を何度か繰り返すと、神経治療が必要になり、被せ物が必要になってしまいます。 ここで銀歯を選択した場合、痛みが出にくい分、色々と気…

前歯の審美治療🦷

2021/07/14

本日ご紹介するケースは 『前歯の審美改善』 に関しての症例です🦷 通常このようなケースの場合、歯茎が足りない部分に移植が必要になります👨‍⚕️ しかし、この症例は歯茎の移植なしに行いました &ld…

メインテナンスの大切さ🦷

2021/06/30

こんにちは 本日は州デンタルオフィスで治療後、長期間メンテナンスに通っていただいている患者さん。噛み合わせの力が強く、長期使用によりセラミックが欠けた症例です セラミックが割れる❗️ 皆さん、…

前歯のセラミック治療🦷

2021/06/26

こんにちは 最近前歯の治療のご相談をよく受けます 当院の治療の結果でご紹介いただくケースも増えてきたように感じます この時期は特に皆さんマスクをしていらっしゃるので、治療に関しては今が最適な時…

インプラントとセラミック

2021/06/24

本日ご紹介するケースは、もともと銀歯のブリッジが装着されており、内部の虫歯が進化し、掃除がしづらいという事で、インプラントとセラミック治療の混在型のケースです このようなケースはしばしば見受…