Warning: Trying to access array offset on value of type bool in /home/xs522246/gd03-demo.net/public_html/shu-dental.gd03-demo.net/blog/wp-content/themes/shu-dental/index.php on line 121
当院の特徴🦷
2022/02/09
歯の治療にはいくつかパターンがあります しかし、たった一つしかないこと それは 最初の治療は1回しかないこと 当たり前だと思いがちですが、これはとても大切なことです🦷 最初の治療、つまり治療介入…
歯内療法専門医🦷
2022/02/05
最近では割とメジャーになってきましたが、州デンタルオフィスでは、開院後ままなくより、歯内療法専門医の先生と提携し、根管治療を専門で行っています🦷 当院の患者様はもとより、遠方より多数お越し頂…
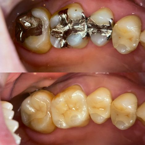
今日の1ケース🦷
2022/02/03
デジタルによるセラミック治療に特化し始めてはや10年近く経ちますが、やっとここまで精度よくクオリティーの高い治療が提供できるようになりました 従来の型採りをやめてデジタルに特化しつつも試行錯誤…
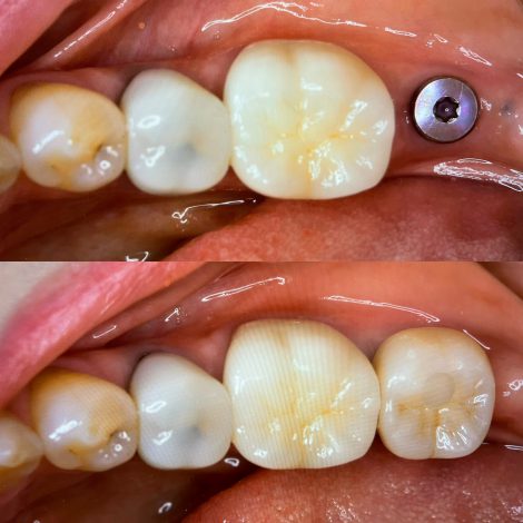
奥歯がなくなった場合どうしますか?
2022/01/27
こんにちは 今日の1ケースは、下の奥歯が割れて抜歯になったケースをご紹介します 噛み合わせが強く何度も治療を繰り返していて、ついに歯が割れてしまった患者様 ブリッジを希望されていましたが、一時…
Warning: Trying to access array offset on value of type bool in /home/xs522246/gd03-demo.net/public_html/shu-dental.gd03-demo.net/blog/wp-content/themes/shu-dental/index.php on line 121
驚異的な80代❗️の患者さん🦷
2022/01/25
こんにちは😃 定期的にメンテナンスにお越しいただく80代の患者さまについてお話しします 当院のスタッフにレントゲンを見せて患者さんの年齢を推測することがあります☝️ そんなに大きくズレませんが、一…
究極の歯の保存と抜歯🦷
2022/01/21
今日ご紹介する症例は まだ若い女性の患者さん 奥歯はまだまだこれから使っていく歯です🦷 しかし、残念なことに 1本は抜歯 1本はしっかりと保存が可能と診断 私たちの仕事は歯を抜くことでも削ること…
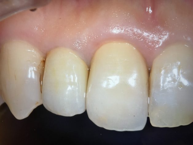
差し歯が取れた🦷
2022/01/20
写真の中で差し歯があります どれでしょうか🦷 正解は 真ん中の歯です☝️ この患者さん、差し歯が取れてやり直しをご希望でした 前歯は何回もやり直しがききません できれば見た目良く・長持ちで・体に優…
今日の1ケース🦷
2022/01/18
歯を失う原因は様々ですが、若くして歯を失った場合、皆さんはどのような選択をしますか? 例えば、ブリッジ。 両側の歯を削って橋渡しの形態で被せ物を入れます 保険適用にもなっているので選択肢には当…
歯周病で歯を失った患者さん
2022/01/13
こんにちは 本日は不安にも歯周病もご自身の噛む力の強さにより歯を失った方の症例をご紹介します 不安にも奥歯2本失った為、ブリッジを使用することはできません そうすると、入れ歯 もしくはインプラ…

























