Warning: Trying to access array offset on value of type bool in /home/xs522246/gd03-demo.net/public_html/shu-dental.gd03-demo.net/blog/wp-content/themes/shu-dental/archive.php on line 146
歯が折れた場合どうするか?
2021/08/25
こんにちは! 今日は事故や怪我で歯が折れた場合の対処法をお話しします 怪我をされた場合、動揺しますし痛みで動けない事もあると思います 特に顔の怪我をされた場合、脳の検査、骨折の有無もとても大切…
“診る”ということ
2021/08/17
こんにちは 州デンタルオフィスでは みることを大切にしています🦷 見る ただ見ること 診る 細部まで観察すること この違いがあると思っています その為に、10倍の拡大鏡を使用し、マイクロスコープを使…
緊急事態宣言延長と歯の関係
2021/07/30
おはようございます☀ 連日オリンピック盛り上がってますね🥇 同時に感染爆発も起こっています ワクチンの普及促進を望むのみですが、こういった状況で起こること 1.普段よりも自宅にいる時間が長くなる 2…
東京オリンピック開幕!
2021/07/23
延期を含めて、史上はじめてコロナ禍でのオリンピックが開幕します 選手の皆さんも大会関係者もなかなか集中しずらい環境であったと思いますが、大会が開催される以上、競技だけに集中して頑張っていただ…
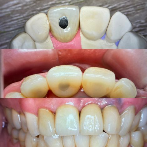
前歯が折れちゃった場合は⁉️
2021/07/20
前歯の差し歯が根元から折れてしまう🦷 神経がない歯ではこういうことが起こりうるんです その場合どうするか? 前歯なので入れ歯… ないでしょう そうすると、両側の歯を削ってブリッジ もしくは…
早めに相談してください🦷
2021/07/16
こんにちは 今日は奥歯がない場合のお話をします 不幸にも抜歯になってしまうことってありますよね🥲 その場合、放置! これが1番まずいです🦷 なぜかって 歯が無いだけ、であればいいかもしれま…
親知らずって必ず抜歯⁈
2021/07/10
“親知らずって必ず抜歯ですか?” この質問をよく受けます 答えとしては “ケースバイケースです” と、いう回答になります じゃあ、どういう場合が 抜歯なのか🦷 簡単に言うと他の…
Warning: Trying to access array offset on value of type bool in /home/xs522246/gd03-demo.net/public_html/shu-dental.gd03-demo.net/blog/wp-content/themes/shu-dental/archive.php on line 146
Warning: Trying to access array offset on value of type bool in /home/xs522246/gd03-demo.net/public_html/shu-dental.gd03-demo.net/blog/wp-content/themes/shu-dental/archive.php on line 146
仕事の効率化について考える
2021/07/05
最近とある先生との会話の中で感じたことがある 歯科の仕事に限らず、物事を効率よく考える癖。からはとても大切であると今更ながら思う 例えば1つの事を行う際に先読みをして準備しておく。しかも4〜5手…
























