Warning: Trying to access array offset on value of type bool in /home/xs522246/gd03-demo.net/public_html/shu-dental.gd03-demo.net/blog/wp-content/themes/shu-dental/archive.php on line 146
今日の1ケース🦷
2021/12/23
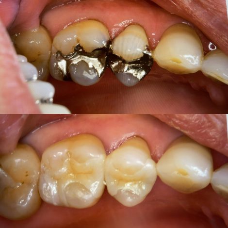
長年頑張ってきた銀歯🦷 そろそろ交換してあげないと元の歯にダメージが大きい 再度銀歯を選択することも一つではあるが、今まで長く使いすぎだツケが歯の中に現れている 今後長く使用するために、耐久性…
Warning: Trying to access array offset on value of type bool in /home/xs522246/gd03-demo.net/public_html/shu-dental.gd03-demo.net/blog/wp-content/themes/shu-dental/archive.php on line 146
Warning: Trying to access array offset on value of type bool in /home/xs522246/gd03-demo.net/public_html/shu-dental.gd03-demo.net/blog/wp-content/themes/shu-dental/archive.php on line 146



















