2022/09/16
こんにちは 幾分過ごしやすくなってきましたね☺️ 本日ご紹介するのは 銀歯! の中ってどうなっているのか⁈ です🦷 みなさん歯が痛い時に詰め物の取り替えをすればいいと思っていませんか? いえいえ それ…
Warning: Trying to access array offset on value of type bool in /home/xs522246/gd03-demo.net/public_html/shu-dental.gd03-demo.net/blog/wp-content/themes/shu-dental/index.php on line 121
歯科技工士のレベル
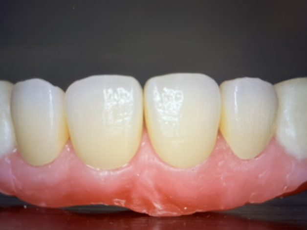
2022/09/01
こんにちは 当院の技工士が作製した前歯4本のセラミック とても良くできています✨ 最近テレビやInstagramで見かけるセラミックの歯 なんか、まるで便器のように真っ白な歯をよく見かけます🦷 美的感覚は…
専門医によるマイクロエンド
2022/08/18
州デンタルオフィスでは PSCEJ認定の歯内療法専門医によるマイクロエンドを行なっています 当院通院中患者様だけでなく、他院の患者様はもとより,他院の院長先生からご依頼を受けて根管治療の対応を行な…
Warning: Trying to access array offset on value of type bool in /home/xs522246/gd03-demo.net/public_html/shu-dental.gd03-demo.net/blog/wp-content/themes/shu-dental/index.php on line 121
Warning: Trying to access array offset on value of type bool in /home/xs522246/gd03-demo.net/public_html/shu-dental.gd03-demo.net/blog/wp-content/themes/shu-dental/index.php on line 121
Warning: Trying to access array offset on value of type bool in /home/xs522246/gd03-demo.net/public_html/shu-dental.gd03-demo.net/blog/wp-content/themes/shu-dental/index.php on line 121
簡単ホームホワイトニング🦷
2022/07/05
🦷オパールエッセンスgo🦷 州デンタルオフィスでも導入しています😊 何より 薬剤注入不要 使用時間の短縮 白くなりやすい濃度 最小がないため衛生的 などなどメリットが盛りだくさんではありますが、まだ…























