詰め物の精度
2022/11/13
詰め物の精度 に関して今回はお話しします まず、3つの詰め物が写真の中にありますが、実は保険の詰め物(プラスチック)と自費の詰め物(セラミック)があります? どれが保険だかわかりますか? 一…
Warning: Trying to access array offset on value of type bool in /home/xs522246/gd03-demo.net/public_html/shu-dental.gd03-demo.net/blog/wp-content/themes/shu-dental/index.php on line 121
Warning: Trying to access array offset on value of type bool in /home/xs522246/gd03-demo.net/public_html/shu-dental.gd03-demo.net/blog/wp-content/themes/shu-dental/index.php on line 121
皆さんはどう感じますか?
2022/10/22
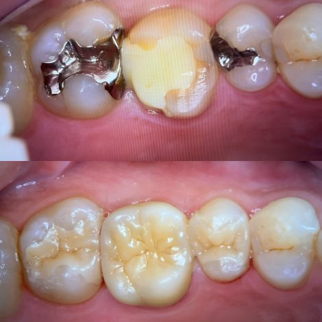
今日ご紹介するケースは 古くなった銀歯と昔のセラミックを取り替えました 今は高強度プラスチック]CAD冠)も保険適応になっていますので、セラミックと同時に作製しました 如何ですか? 当院は保険対応の…
Warning: Trying to access array offset on value of type bool in /home/xs522246/gd03-demo.net/public_html/shu-dental.gd03-demo.net/blog/wp-content/themes/shu-dental/index.php on line 121
光学印象機器増設しました❗️
2022/10/09
TRIOS®︎増設 当院に通院の患者様で、セラミックを選択いただいている患者さんは、型採りが簡便になっていることを体感していただいていると思います🦷 更に効率よく治療を進めさせていただくために、…
金属を全て取り除きました🦷
2022/10/05
今日ご紹介する症例は 数年かけて全体の治療をされていただいている患者さんです 元々銀歯がほぼ全ての歯に対して修復してあり、残念ながら1本はインプラントになってしまいましたが、他は、専門医による…
Warning: Trying to access array offset on value of type bool in /home/xs522246/gd03-demo.net/public_html/shu-dental.gd03-demo.net/blog/wp-content/themes/shu-dental/index.php on line 121
Warning: Trying to access array offset on value of type bool in /home/xs522246/gd03-demo.net/public_html/shu-dental.gd03-demo.net/blog/wp-content/themes/shu-dental/index.php on line 121






















