歯内療法(精密根管治療/外科的根管治療/生活歯髄切断)とは
根の中に神経が強く炎症を起こしたり(歯髄炎)、根の先に病気ができた時(根尖性歯周炎)などに行う治療です。
このような場合には、痛みをなくし、病気を治し、再発しないようにすることを目的として歯内療法を行います。
大切な歯を残すためにできること

歯内療法(精密根管治療/外科的歯内療法/生活歯髄療法)とは、歯の根の中の神経が強く炎症を起こしたり(歯髄炎)、根の先に病気が出来た時(根尖性歯周炎)などに行う治療です。 このような場合に、痛みをなくし、病気を治し、再発しないようにすることを目的として歯内療法を行います。
歯の中の神経は細く、入り組んでいて治療がとても難しい所です。 その治療を成功に導くためには、「どんな道具を用いるか」よりも「的確な診査診断と生物学的根拠に基づいた質の高い治療を行なう」ことが重要です。 当院では、北米ペンシルバニア大学歯内療法科 のコンセプトに従い、生物学的な根拠に基づいた治療を行っております。PESCJへのリンク
皆様の歯を1本でも多く助け、自分の歯で咬むことの素晴らしさを実感して頂けますよう日々診療しております。 抜歯を宣告された、神経をとりたくない、精密根管治療しても違和感・痛みがひかない、治療したけどまた腫れてきた・・・などの悩みをお持ちの方のご相談お待ちしております。
世界基準の治療をご提供
歯内療法(根管治療/外科的歯内療法/生活歯髄療法)とは、歯の根の中の神経が強く炎症を起こしたり(歯髄炎)、根の先に病気が出来た時(根尖性歯周炎)などに行う治療です。 このような場合に、痛みをなくし、病気を治し、再発しないようにすることを目的として歯内療法を行います。歯の中の神経は補足、入り組んでいて治療がとても難しい所です。
その治療を成功に導くためには、「どんな道具を用いるか」よりも「的確な診査診断と生物学的根拠に基づいた質の高い治療を行う」ことが重要です。
当院では、北米ペンシルバニア大学歯内療法科のコンセプトに従い、生物学的な根拠に基づいた治療を行っております。PESCJへのリンク
抜歯を宣言された、神経をとりたくない、根管治療をしても違和感・痛みが引かない、治療をしたけどまた腫れてきた・・・などの皆様の歯を1本でも多く助け、自分の歯で咬むことの素晴らしさを実感して頂けますよう日々診療しております。
悩みをお持ちの方のご相談、ご紹介をお待ちしております。
施術医紹介

精密根管治療担当医
野田 哲朗
2001年 北海道大学歯学部 卒業
PESCJ:Penn Endo Study Club in Japan 修了および所属
PESCJ 歯内療法認定医・preceptor
ペンシルバニア大学 Microscopic Training Course in Surgical Endodontics 修了
AAE:米国歯内療法学会 Associate Member
JEA:日本歯内療法学会 所属

こんな症例に適しています
- ・治療をしたのに痛みが続く
- ・歯を長持ちさせたい
- ・違和感が続いている
- ・抜歯が必要と言われた
虫歯が進行して神経に達してしまった場合、そのまま放っておくと抜歯せざるを得なくなります。
しかし近年では、虫歯におかされた歯の神経を取り除く「精密根管治療」によって、抜歯を避ける(歯根の部分を残す)ことができるようになっています。
たまプラーザ駅から徒歩2分の歯科・歯医者「州デンタルオフィス」では、精密な処置が求められる精密根管治療にも対応しています。
治療の流れ
- 1初 診
- 診査・診断を行い、治療方針、予後、費用の話をします。
- 2治 療
- 1回あたり90分、おおよそ1回~3回の治療が必要になります。
- 3経過観察
- 年に1回~数回状態の確認をしていきます。
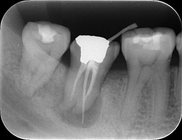
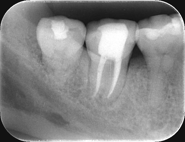
実際の症例
-
治療前
-
治療後
| 治療内容 | 精密根管治療 | 期間 | 3~6ヶ月※状態に応じて変わります |
|---|---|---|---|
| 治療回数 | 5回 | 費用 | 再根管治療170,000円(税込 187,000円) |
| リスク 副作用 |
歯質の状況に応じて抜歯の診断。もしくは歯根端切除に移行あり。 | ||
精密根管治療費用
| 初回審査診断費用 (60分) |
11,000円 (税込) | ||
|---|---|---|---|
| 生活歯髄切断法 | 49,500円(税込) | ||
| 感染根管処置 | 前歯 | 99,000円(税込) | |
| 小臼歯 | 132,000円(税込) | ||
| 大臼歯 | 154,000円(税込) | ||
| 再根管処置 | 前歯 | 132,000円(税込) | |
| 小臼歯 | 154,000円(税込) | ||
| 大臼歯 | 187,000円(税込) | ||
| 外科的歯内療法 ※当院で精密根管治療後の 外科処置は 66,000円 (税込)です。 |
前歯 | 154,000円(税込) | |
| 小臼歯 | 176,000円(税込) | ||
| 大臼歯 | 220,000円(税込) | ||
| 破折の診断 | 39,500円(税込) | ||
| 支台築造 | 39,500円(税込) | ||
歯内療法を希望される方へ

- 1:
- 現在かかりつけの医院がある方は、その歯科医院から紹介していただいてください。
当院での歯内療法後の被せ物などは必ずかかりつけ医院で行っていただきます。
- 2:
- かかりつけ医院がない方は当院までご連絡ください。
この場合、歯内療法後の被せ物、メンテナンス等は当院にて行います。
歯内療法を施した歯を長持ちさせるためにはその後の土台や冠を速やかに精密に行わなければならないことがわかっております。歯内療法後の処置を行う医院が決まっていない方の歯内療法を行うことはいたしません。
いずれの場合も初診時には治療は行いません。現状の診断をし、治療の方法、予想される予後、費用に関してお伝えします。それにご納得いただいた方のみ次回より治療を開始いたします。
また、治療を行ったとしても長期的な保存が難しいと考えられる場合には、かかりつけ医と相談していただく場合があります。
当院の精密根管治療における
精度向上の取り組み
精密根管治療はとても細かい部位の細かい作業の連続です。その一つひとつを確実に行い、根管内に細菌を残さないようにしないといけません。虫歯を再発させてしまうとさらに抜歯に近づいてしまうので、さまざまな取り組みによって精密根管治療の精度を高める必要があります。
マイクロスコープの使用
根管はとても細く、複雑な形状をしています。そのため、裸眼では限界があり、治療を行うには歯科医師の経験や勘に頼るしかありません。しかしそれで本当にいいのでしょうか?
当院ではマイクロスコープを使用し、拡大視野で患部をきちんと確認しながら処置を行っています。しっかり目視してこそ、精密な治療が実現できるのです。

ラバーダムの使用
口腔内にはさまざまな細菌が存在しており、根管に唾液などが入ってしまうと、根管内部に細菌が侵入してしまいます。ラバーダムは根管内に異物が侵入しないようにカバーするゴム状のシートです。治療中の歯だけを露出させて処置を行うので、唾液などから患部を保護するのと同時に、お口の中に薬剤が流れ出るのを防ぎます。

ニッケルチタンファイルの使用
根管内部の神経などを除去するのに使用する器具がファイルです。従来のステンレスファイルよりもしなやかで柔軟性があるニッケルチタンファイルは、複雑な形状の根管にもやさしくフィットします。歯への負担が少ないうえ、作業効率が上がるので、精度の向上と作業時間の軽減につながります。

Q&A よくある質問
Q 必ず治りますか?
A 歯の中の構造は複雑で一度根管に入ってしまった最近は減らすことは出来ても0にすることは決して出来ません。したがって、100%の成功とはなりません。神経を取る治療の場合で90%、根尖性歯周炎の治療で80~90%の成功率です。根管治療により治療しない場合外科的歯内療法を行い治療に導きます。
Q 外科的歯内療法とは?
A 根管は、根の先の方では複雑に枝分かれしており、そこに入り込んだ最近は通法の根管治療では除去することができません。それを除去する目的で、根の先端部分を手術により切り取る処置です。
施術法としては、根管切除術と意図的再植術があり、いずれも成功率は90%以上です。
Q 歯内療法が行えない歯ってありますか?
A 歯に縦にヒビが入っている時(垂直性根管破折)、歯周病が重度であるとき、歯がほとんど残っておらず歯内療法後に冠をかぶせることが出来ないとき。
以上の場合には歯内療法を行なってその治療が成功したとしても歯として機能させること・咬ませることが出来ません。このような状態が確認されたとき、治療を中断せざるを得ないことがあります。
Q 神経をとりたくないのですが?
A 診査によって歯髄炎になっていないと診断された場合には、虫歯が大きくてもむやみに神経の処置をせず、神経を残す処置を行うことが可能です。ただし、闇雲に何でも神経を残せばいいというものではありません。
Q 受診方法は?
A かかりつけ歯科主治医の先生にご相談ください。
















