
「目立つ銀歯を白い歯にしたい」
「歯の形をきれいにしたい」
「歯肉の黒ずみを何とかしたい」
歯や口元をきれいにして笑顔に自信を持ちたいという方は、
たまプラーザ駅徒歩3分の歯医者「州デンタルオフィス」の審美治療にご相談ください。健康とともに美しい見た目を手に入れることには、多くのメリットがあります。
さまざまな審美メニューの中から、あなたのお悩みやご希望に合ったメニューをご提案します。
当院の審美修復の考え方

見た目の美しさと歯の機能性の回復を行うための審美修復(審美治療)を行う際の基本は、「お口の健康を守ること」です。ただ見た目をきれいにすればいいというわけではなく、まず歯周病治療や精密根管治療を行い、土台となる歯や歯ぐきを健康な状態にする必要があります。なぜなら、どんなにきれいな人工歯を装着しても、土台が健康でなければ長持ちさせることができないからです。
また、審美治療が完了したらそこで終わりだと思われる方もいらっしゃいますが、メインテナンスを怠っても同様に人工歯を長持ちさせることができません。当院では患者さんにとってメリットが多い歯科材料を使用し、精密に歯の審美修復を行っていますが、審美修復の前後の処置である「お口の健康を守る治療」や「メインテナンス」も重視しています。
審美修復にセラミックを
使用するメリット
セラミックは審美修復に広く使われている素材です。それは次のような理由があるからです。
-
- メリット1
- 自然な美しさがある
- 金属を使用しないオールセラミックなら、天然歯のような光の透過性や色調を再現することができます。これまでも金属のフレームにセラミックを焼きつける被せ物(メタルボンド)がありましたが、オールセラミックはメタルボンドよりも見た目が自然で、より美しく仕上げることが可能です。
-
- メリット2
- 耐久性・適合性が高い
- 歯科用に使われるセラミックにはさまざまな種類があり、金属のような強度がありながらも天然歯にやさしいジルコニアやe-maxなど、審美性だけでなく耐久性にも優れた素材を選ぶことができます。また接着方法の改善により適合性も高まっているので、再治療のリスクが少なく、長期間にわたって安心して使用できる素材も多くあります。
-
- メリット3
- 生体親和性が高い
- 保険診療の虫歯治療では銀色の金属(銀歯)を使用することがありますが、金属は経年劣化によってイオン化して溶け出し、それが体内に取り込まれることで金属アレルギーの症状を引き起こすおそれがあります。また、同じく保険診療の虫歯治療で使用するレジン(歯科用プラスチック)も汚れがつきやすいので、虫歯や歯周病の再発リスクを高めてしまいます。セラミックはこうしたデメリットがなく、生体親和性に優れた素材です。
セラミック専門の
ラボ(技工所)と連携しています
審美治療を行うのは歯科医師ですが、お口に装着する人工歯を作製するのは歯科技工士です。美しく精度が高いセラミックの人工歯をご提供するには、歯科医師と歯科技工士の連携が欠かせません。たまプラーザ駅近くの歯医者「州デンタルオフィス」では、セラミックの扱いに優れた信頼と実績のある歯科技工所と連携し、審美修復物を作製しています。
当院の審美メニュー
オールセラミック
セラミック素材のみで詰め物や被せ物をつくります。金属不使用なので、金属アレルギーや歯ぐき付近から金属の黒いラインが見えてしまうような心配がありません。光の透過性が高く、自然な色調と透明感が再現できるので、美しい見た目に仕上がります。

オールセラミックのメリット
- 前歯の形や歯並びを整えることができます
- 目立つ銀歯から替えると見た目の悩みがなくなります
- 金属アレルギーの心配がありません
ラミネートベニア
前歯を少し削り、そこにシェル状に加工した薄いセラミック製の板を貼りつける処置です。健康な前歯の表面を少し削らなければなりませんが、前歯の形や色をきれいに整えることができます。前歯に大きなすき間がある「すきっ歯」の改善も可能です。

ラミネートベニアのメリット
- ホワイトニングで白くならない歯もきれいにできます
- 「すきっ歯」の改善が可能です
- 少し欠けてしまった前歯や形の悪い前歯を美しくきれいにできます
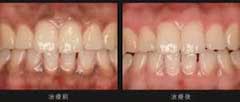
歯肉ホワイトニング
喫煙などにより、メラニン色素が歯ぐきに沈着して黒ずんでしまうことがあります。歯肉ホワイトニングは、薬剤を歯ぐきに塗布してピーリングを促し、数日で健康的なピンク色の歯肉を取り戻す処置です。

手軽にあなたの歯を白く美しくする処置~ホワイトニング~
白く輝く歯は、「爽やか」「若々しい」「美しい」「親しみやすい」「活発」といったポジティブな印象を与えます。しかし、歯は年齢を重ねるごとに黄ばみを増してしまうもの。毎日ブラッシングをしているのにいつの間にか黄ばんでしまうのは、色の濃い飲食物に含まれる色素やタバコのヤニ、加齢などが原因です。黄ばんでしまったあなたの歯を削ることなく、専用の薬剤で白くするのが歯科ホワイトニングです。
ホワイトニングの種類
ホワイトニングには、歯科医院で行う「オフィスホワイトニング」とご自宅で行っていただく「ホームホワイトニング」の2種類があります。オフィスホワイトニングを行ってからホームホワイトニングを続けていただく「デュアルホワイトニング」は、すぐに白さを実感できるうえに白さが長持ちするのでおすすめです。
オフィスホワイトニング
高濃度のホワイトニング剤を歯の表面に塗布し、ホワイトニング効果を促進させる方法です。

| メリット | デメリット |
|---|---|
|
|
ホームホワイトニング
歯科医院で作製した専用のマウストレーに低濃度のホワイトニング剤を注入し、毎日一定時間装着していただくことで歯を少しずつ白くしていく方法です。

| メリット | デメリット |
|---|---|
|
|
ホワイトニングの注意点
- ホワイトニング効果には個人差があります
- 虫歯や歯周病、知覚過敏がある場合はそちらの治療が優先します
- 妊娠中や授乳中の方にはホワイトニングをおすすめできません
- 白さを維持するためにはメインテナンスが必要です
咬筋ボツリヌス治療
ボツリヌストキシンとは
ボツリヌストキシンとは、ボツリヌス菌から抽出されたたんぱく質の一種です。ボツリヌストキシンには、緊張している筋肉を一時的に弛緩する効果があります。その効果を利用して、歯ぎしりや食いしばり、顎関節症などの治療に使用されています。治療は注射で行います。過度に緊張している筋肉(エラ)に注射をすることで、筋肉の緊張が緩み食いしばりの改善がみられます。その結果、食いしばりから起こる肩こりなども緩和されることがあります。

咬筋とは
咬筋とは、下あごの外側にある筋肉のことです。歯を噛みしめたり、食いしばったりした時に膨らむ部分になります。咬むときに働く咀嚼筋の中でも、もっとも浅い層に位置しているので、あごを触ることで動きがよくわかります。咬筋の大切な働きは、下あごを引き上げて、上下の歯をきちんと咬み合わせることです。咬筋がしっかりと働くことにより、硬い食べ物も噛み砕くことができます。
こんな方はご相談ください
- 顎関節症の緩和
- 就寝中の歯ぎしりの緩和
- 歯ぎしりによる歯のすり減り抑制
- 咬合圧による破損防止
- 食いしばりの緩和

















