当院のワクチン接種についての考え方
2021/06/08
こんにちは 本日は、当院のワクチン接種の考え方についてご説明致します 結論から申しますと、全員接種致します ワクチンは強制すべきではないですし、誰しも未知のウィルスに対峙していますので、副作用…
今日の1ケース🦷
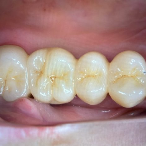
2021/06/04
今日ご紹介する症例は、奥歯2本のセラミッククラウンとインレーです 元々は奥歯は銀歯、手前が治療途中でした ご相談した結果、見た目もよく、長持ちする治療をご希望との事で、セラミック治療にて対応さ…
歯が1本ない場合、どうしますか?
2021/06/03
今日は、不幸にも歯が1本なくなった場合(抜歯になったケース)についてご説明します 一般的に歯がない場合は3通りの方法があります 1.インプラント 2.ブリッジ 3.入れ歯 それぞれメリットデメリットはあり…
診療再開のお知らせ
2021/05/29
おはようございます 通院中の患者さまには大変ご迷惑をお掛けしました 本日より診療再開いたしますのでご報告致します 引き続き感染対策を徹底して診療を行っていきます よろしくお願い致します
消毒噴霧作業完了のご報告
2021/05/26
本日26日正午、専門の業者に依頼し、院内全ての消毒噴霧作業及び、細部の消毒作業が完了したことをご報告致します やるからには徹底的に対策を講じる為、休診期間も十分に期間を頂きました 通院中の方々…
Warning: Trying to access array offset on value of type bool in /home/xs522246/gd03-demo.net/public_html/shu-dental.gd03-demo.net/blog/wp-content/themes/shu-dental/index.php on line 121
29(土)診療再開のお知らせ
2021/05/20
長らく皆様にはご迷惑をおかけいたしております 29土曜より順次診療を再開予定です 30日、31日も15時までの診療を予定しております 現在スタッフが電話対応しておりますので、お問い合わせの際はクリニッ…
Warning: Trying to access array offset on value of type bool in /home/xs522246/gd03-demo.net/public_html/shu-dental.gd03-demo.net/blog/wp-content/themes/shu-dental/index.php on line 121
消毒作業日程とスタッフ全員陰性のお知らせ
2021/05/15
当院通院中の皆様には大変ご迷惑をおかけしております スタッフ全員及び関係者のPCR陰性を確認致しましたことをご報告致します。 また、院内消毒作業の日程が26日に決定しました 作業後の状況をみて、…
Warning: Trying to access array offset on value of type bool in /home/xs522246/gd03-demo.net/public_html/shu-dental.gd03-demo.net/blog/wp-content/themes/shu-dental/index.php on line 121
臨時休業のお知らせ※当面
2021/05/12
当院スタッフに新型コロナウィルス接触アプリcocoaより濃厚接触者通知が来ました そのため、クリニックを一時閉鎖し、当面診療を自粛することと決断しました ここまでやる必要があるのか迷いましたが、念…
























