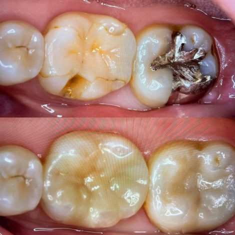
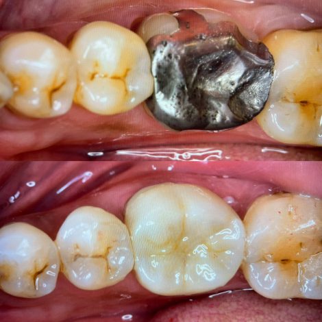
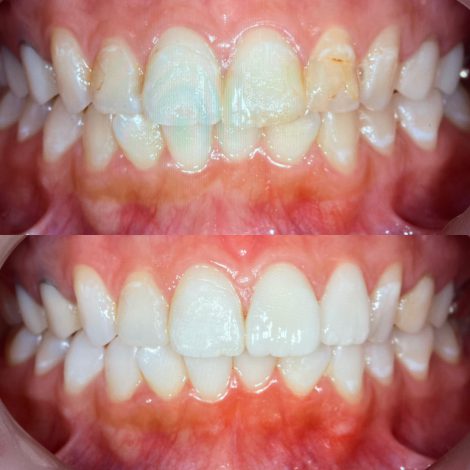
柑橘系がやめられない方って…
2021/05/10
こんにちは 今日はとある症例についてご説明したいとおもいます すっぱいものが好きな方ってたくさんいらっしゃいますよね⁉️ 実は、お口の中に関してはとても問題なんです🦷 長時間にわたって酸性に触れ…
Warning: Trying to access array offset on value of type bool in /home/xs522246/gd03-demo.net/public_html/shu-dental.gd03-demo.net/blog/wp-content/themes/shu-dental/index.php on line 121
本日より、笹山先生復帰です👩⚕️
2021/05/09
本日より、産休に入っていた笹山先生(女性のDr.)が復帰されます🦷 とてもハキハキした先生で、快活な女医さんです👩⚕️ 日曜、月曜日の一般診療を担当致します よろしくお願い申し上げます。
Warning: Trying to access array offset on value of type bool in /home/xs522246/gd03-demo.net/public_html/shu-dental.gd03-demo.net/blog/wp-content/themes/shu-dental/index.php on line 121
GW明け 診療開始
2021/05/07
おはようございます☀ 今朝の東京は晴れ 皆さんGWは如何過ごされましたか? 州デンタルオフィスでは、本日から診療時間を変更しています また、本日は午前のみ診療となっております
カメラ好きなんですか⁉️
2021/05/01
こんにちは❗️ 今日は、皆さんからよく聞かれる質問ですが、 “先生はカメラがお好きなんですか?” しばしば受ける質問です☝️ おそらく、私がよく記録写真を撮るからだと思います📷 Q.他の歯…
女性Dr.復帰のお知らせ
2021/05/01
5月になりました😊 皆さんにお知らせがあります☝️ この度、産休でお休みしていた女性の歯科医師が復帰します👩⚕️ 笹山先生と言います🦷 主に日,月曜日の一般診療を担当していただきます☝️ 元はイン…
重要‼️ご存知ですか⁉️
2021/04/30
おはようございます☀ 我慢のGWが今年も始まりました🥲 州デンタルオフィスも本日から5/5までお休みをいただきます さて、 本日はとても大切なお話をします これからワクチン接種が進んでいくと思いますが…

























