銀歯の下ってどうなってるの?
2021/04/15
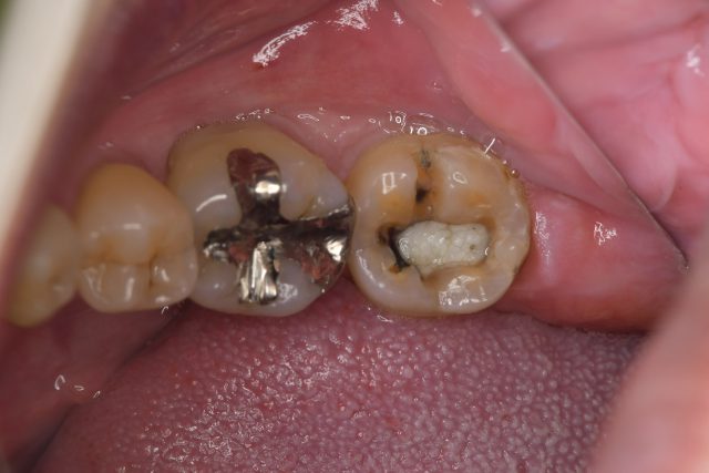
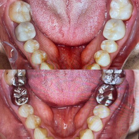
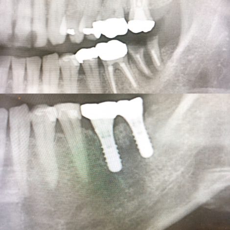
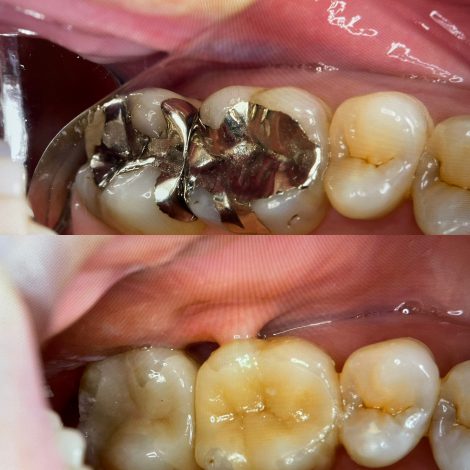
銀歯の下ってどうなっているのか考えたことあります? おそらく多くの方が痛みを伴わない限り、考えることはないですよね。 歯が痛い! 虫歯だ! と多くの方が反射的に感じると思うはずです しかし、痛み…
Warning: Trying to access array offset on value of type bool in /home/xs522246/gd03-demo.net/public_html/shu-dental.gd03-demo.net/blog/wp-content/themes/shu-dental/index.php on line 121
Warning: Trying to access array offset on value of type bool in /home/xs522246/gd03-demo.net/public_html/shu-dental.gd03-demo.net/blog/wp-content/themes/shu-dental/index.php on line 121
マスクは大切なんだけど…
2021/04/13
この時期、みなさんマスクしてますよね😷 これから夏に近づくにつれてしんどい季節になってきますよね😣 さて、マスクの効果に対しては色々言われていますが、ないよりはやはりつけていた方がよいと思い…
Warning: Trying to access array offset on value of type bool in /home/xs522246/gd03-demo.net/public_html/shu-dental.gd03-demo.net/blog/wp-content/themes/shu-dental/index.php on line 121
























